Elevated Lymphocytes- Start Baytril as a "just in case"?

Hi guys! My chameleon Sprinkles has been slightly weaker, falling a lot more often, has poor grip strength. He has been eating and drinking like normal, but his urates are more orange. He is a big boy and is weighing at 280 grams. It progressed over the past few months and he stopped using his tail to move around and stopped curling it at night.

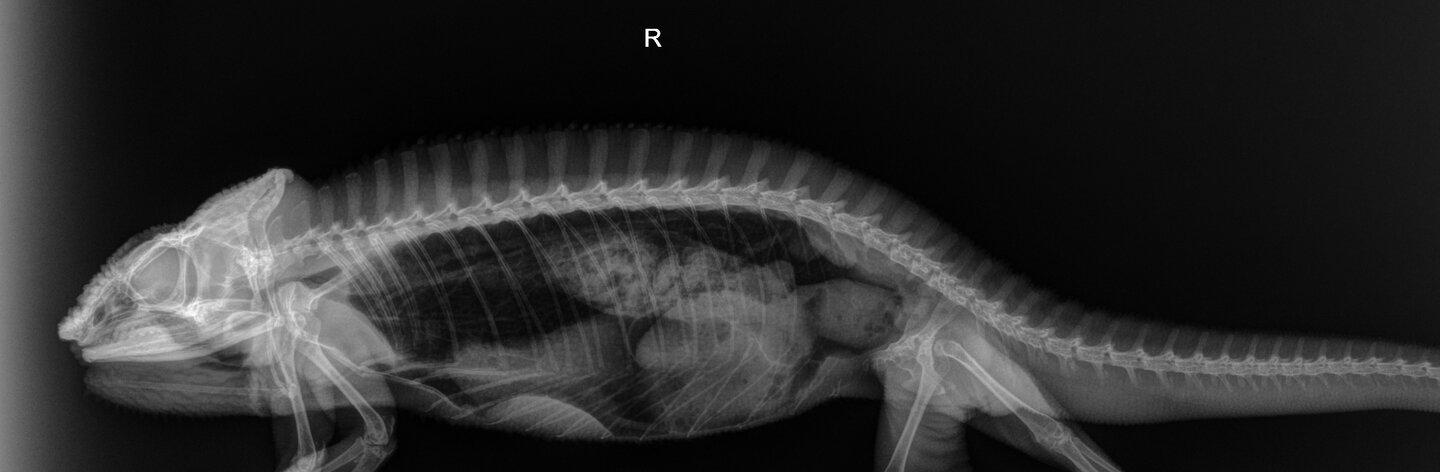
I took him to see Dr. Stein on Saturday at the vet. His X-rays are normal. His blood results showed very elevated Lymphocytes and white blood cells. He is testing for leukemia as well, when he said this I got really freaked out. Do I need to prepare for the worst?

The vet wants to start him on 10 days of Baytril antibiotics. He is showing no signs of RI infection (no head tilted up, no sunken eyes, labored breathing, etc). I have gone over my husbandry a million times and I can't find anything super wrong with it. Any ideas on what could be going on?

Thank you in advance.
 

Attachments

  • IMG_1181.JPG
    IMG_1181.JPG
    291.6 KB · Views: 66
  • Image 4-17-25 at 7.09 PM.jpg
    Image 4-17-25 at 7.09 PM.jpg
    108.2 KB · Views: 68
  • IMG_1567.JPG
    IMG_1567.JPG
    65.6 KB · Views: 68
  • IMG_1566.JPG
    IMG_1566.JPG
    56.9 KB · Views: 65
  • IMG_1468.JPG
    IMG_1468.JPG
    170.4 KB · Views: 71
He could have an infection anywhere in his body. Antibiotics could help him. If he is going to get Baytril keeping him hydrated is going to be very important during the treatment. Make an effort to feed him soft bodied worms (horn & silk) or give more dripper sessions per day.
 
He could have an infection anywhere in his body. Antibiotics could help him. If he is going to get Baytril keeping him hydrated is going to be very important during the treatment. Make an effort to feed him soft bodied worms (horn & silk) or give more dripper sessions per day.
I just gave him his baytril, .05 ml with a bunch of horn worms. Thank you for your insight.
 
My veiled Grumpy had very elevated white blood cell count and was very anemic too - leukemia was mentioned. After antibiotics, all of her lab values were great. Not that I could have afforded to do the work up for leukemia, but it didn’t seem necessary. However, within the following year she started showing some strange behaviors/symptoms, like sleeping upside down with her belly hanging. Her belly became huge and beneath the bloat, she became extremely thin, even though she was still eating the same. When labs were done, they were strongly suggestive of cancer somewhere. I modified her enclosure for her declining mobility and as the bloat finally made it impossible for her to eat, I took her for euthanasia. I don’t know if the initial infection was in any way related to whatever cancer she may have had. I had considered a necropsy, but it was an unimaginably horrific time for me and I was drained in every way possible. I had six months straight of my chameleons one by one getting sick and then passing - 1st my male veiled from presumed cancer and with no break in time, my male panther from renal failure and then Grumpy.
All I can tell you is to continue doing what you’re doing and stay vigilant. I pray your beautiful guy will make a full and complete recovery and be with you for many more years. 🙏 🤞 💗
 
My veiled Grumpy had very elevated white blood cell count and was very anemic too - leukemia was mentioned. After antibiotics, all of her lab values were great. Not that I could have afforded to do the work up for leukemia, but it didn’t seem necessary. However, within the following year she started showing some strange behaviors/symptoms, like sleeping upside down with her belly hanging. Her belly became huge and beneath the bloat, she became extremely thin, even though she was still eating the same. When labs were done, they were strongly suggestive of cancer somewhere. I modified her enclosure for her declining mobility and as the bloat finally made it impossible for her to eat, I took her for euthanasia. I don’t know if the initial infection was in any way related to whatever cancer she may have had. I had considered a necropsy, but it was an unimaginably horrific time for me and I was drained in every way possible. I had six months straight of my chameleons one by one getting sick and then passing - 1st my male veiled from presumed cancer and with no break in time, my male panther from renal failure and then Grumpy.
All I can tell you is to continue doing what you’re doing and stay vigilant. I pray your beautiful guy will make a full and complete recovery and be with you for many more years. 🙏 🤞 💗
Thank you for the long and detailed reply. First, I am so so sorry you went through that with your babies. It’s so hard to know what’s going on with these sensitive guys.

Dr. Stein called yesterday and let me know he doesn’t think it’s cancer, the cells came back normal. The nice part was he consulted with a specialist and didn’t charge me extra for the cancer testing. After reading your response I think I will ask for a follow up blood test. Appreciate you!
 
Thank you for the long and detailed reply. First, I am so so sorry you went through that with your babies. It’s so hard to know what’s going on with these sensitive guys.

Dr. Stein called yesterday and let me know he doesn’t think it’s cancer, the cells came back normal. The nice part was he consulted with a specialist and didn’t charge me extra for the cancer testing. After reading your response I think I will ask for a follow up blood test. Appreciate you!
Very glad to hear that your vet is ruling out cancer and that he consulted with a specialist for no charge. I think when it comes to exotics, the vets will consult more with each other since things aren’t as well defined or known like with cats and dogs. It’s often an experience and knowledge share, which is fantastic. Do keep us updated on how your guy is doing and if you get follow up labs, how they look. Sending healing vibes and all the good juju your way. 💗
 
10 days of baytril and sprinkles is still not using his tail much.. any ideas of what could be happening? ): he lets his tail hang down now instead of curling, his tail looked good on x-rays. I am going to ask for follow up bloodwork to check his white blood cells again. I’m at a loss
 

Attachments

  • IMG_3578.jpeg
    IMG_3578.jpeg
    180.8 KB · Views: 63
10 days of baytril and sprinkles is still not using his tail much.. any ideas of what could be happening? ): he lets his tail hang down now instead of curling, his tail looked good on x-rays. I am going to ask for follow up bloodwork to check his white blood cells again. I’m at a loss
Also, vet said the cells weren’t cancerous but he doesn’t know exactly what’s wrong
 
I wonder if the tail is maybe neurological and is not related to his blood work. :unsure: Refresh my memory - did it start right after he had blood drawn from his tail? I’m wondering if maybe a nerve was nicked or bruised.
 
How old is Sprinkles? Could his tail problems be from arthritis? I've observed less tail use in my older chameleons. Some responded to anti-inflammatory treatment.
 
I know you said there were no blood draws from the tail…were there also no injections into the tail?

What forms of vitamin A and how much preformed vitamin A was in the supplements you used when/before this tail limp Ness started?
 
Last edited:
I know you said there were no blood draws from the tail…were there also no injections into the tail?

What forms of vitamin A and how much preformed vitamin A was in the supplements you used when/before this tail limp Ness started?
They did draw blood from his tail, however it was limp before the blood draw as well. There were no injections.

I am using Repashy Calcium Plus LoD (Vitamin A min. 80,000 IU/lb) twice a month. Wondering if I should increase.
 
Update- I dusted heavier this month with repashy loD (second time was 2 days ago) and tonight was the first night sprinkles tail has curled in months. BUT he now has edema.. we get a lot of sun. Maybe too much D3? But he needs more of the other vitamins? I still feel lost but so happy he curled his tail today.
 

Attachments

  • IMG_3968.jpeg
    IMG_3968.jpeg
    175.5 KB · Views: 66
Back
Top Bottom