Jessandsprinkes
Member
Hi guys! My chameleon Sprinkles has been slightly weaker, falling a lot more often, has poor grip strength. He has been eating and drinking like normal, but his urates are more orange. He is a big boy and is weighing at 280 grams. It progressed over the past few months and he stopped using his tail to move around and stopped curling it at night.
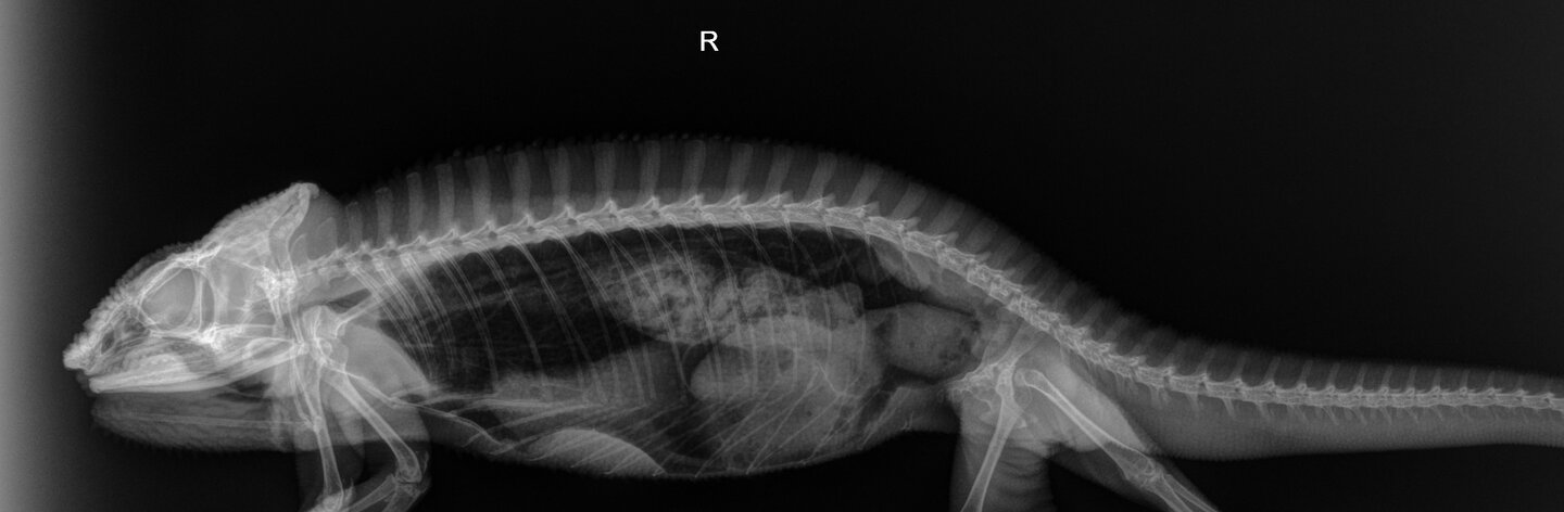
I took him to see Dr. Stein on Saturday at the vet. His X-rays are normal. His blood results showed very elevated Lymphocytes and white blood cells. He is testing for leukemia as well, when he said this I got really freaked out. Do I need to prepare for the worst?
The vet wants to start him on 10 days of Baytril antibiotics. He is showing no signs of RI infection (no head tilted up, no sunken eyes, labored breathing, etc). I have gone over my husbandry a million times and I can't find anything super wrong with it. Any ideas on what could be going on?
Thank you in advance.
I took him to see Dr. Stein on Saturday at the vet. His X-rays are normal. His blood results showed very elevated Lymphocytes and white blood cells. He is testing for leukemia as well, when he said this I got really freaked out. Do I need to prepare for the worst?
The vet wants to start him on 10 days of Baytril antibiotics. He is showing no signs of RI infection (no head tilted up, no sunken eyes, labored breathing, etc). I have gone over my husbandry a million times and I can't find anything super wrong with it. Any ideas on what could be going on?
Thank you in advance.