Chameleon Ready to Lay Eggs, Won't Lay? Gular Edema and Abdominal Fluid?

Hello, everyone! I did some digging around the website, but I don't think I found exactly what I was looking for.
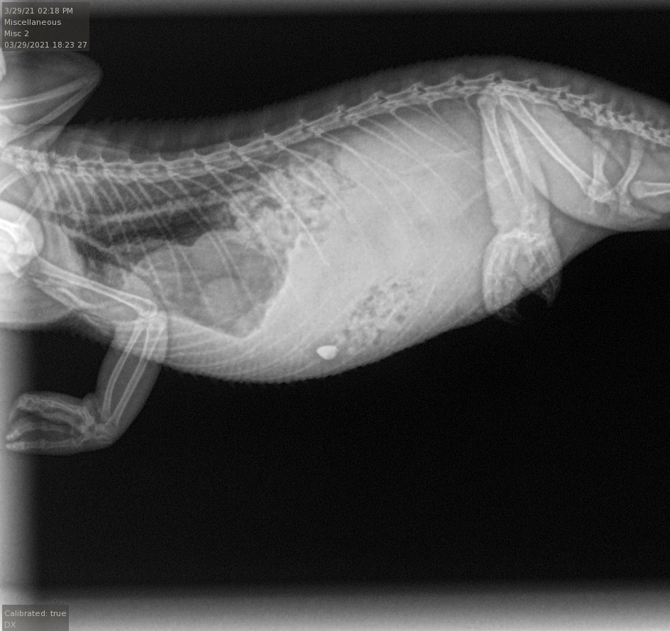
I have a gravid female Veiled Chameleon that is about a year and a few months old. I took her to the vet to ensure she was gravid (I'd owned one female Veiled prior that had a similar body shape when she was gravid), and lo and behold, she is, in fact, gravid. The doc took some x-rays, which I've included here:
Misc 2.jpg
Misc 11.jpg
Wholebody.jpg

I don't believe she's eggbound just yet as she's still very active, always willing to eat, and never has her eyes closed during the day. However, I'm finding myself getting worried.
Her habitat is the right size, the humidity is correct, the heating gradients and basking spots are accurate, and she has a mister that is timed to go off, so I know she's well-hydrated. But when I put the laying bin in her cage that I'd used for my previous female (cleaned with clean eco-earth), she refused to touch it.
I'm now reading on these forums that play sand is a much better choice, and I'm willing to make that change, but I'm a bit worried. Also, ever since she developed her gravid shape a couple of months ago, she's had this weird bulge around her neck that has been identified as gular edema, and there is also fluid in her abdomen. The vet didn't seem to be sure whether this would go away after the eggs were laid. She advised me to supplement with calcium with D3 every day from now on, but I've read that this is a huge no-no, and I'm now unsure of what to do. Her crickets and silk/horn/superworms get fed a mix of the fruits and veggies listed on the nutrition page, and they're dusted with calcium (no D3) every day, calcium with D3 once every other week, and a small bit of multi-vitamins once a week.

All of this to ask:
Will it be too stressful for her to move the things in her cage around to make room for the new laying bin with play sand?
Should I give her calcium with D3 every day?
Should I be concerned about this gular edema/fluid despite her having no bad symptoms at all?
 
I'm not a vet so what I say comes from experience and from what I've read over many years.

I don't see any fluid in her abdomen...but I'm not as practiced as I should be with X-rays to be sure that I'm right.

I would not give her D3 every day but I certainly would give her calcium...maybe even a little extra. D3 from supplements can build up,in the system and lead to MBD but D3 from direct sun or from a UVB won't as long as the chameleon can move out of it at will.

They do seem to prefer washed playsand to lay the eggs in. I use the one produced by Kings that comes in a white bag with red, blue, yellow sand toys on the front of it.
 
Last edited:
I'm not a vet so hat I say comes from experience and from what I've read over many years.

I don't see any fluid in her abdomen...but I'm not as practiced as I should be with X-rays to be sure that I'm right.

I would not give her D3 every day but I certainly would give her calcium...maybe even a little extra. D3 from supplements can build up,in the system and lead to MBD but D3 from direct sun or from a UVB won't as long as the chameleon can move out of it at will.

They do seem to prefer washed playsand to lay the eggs in. I use the one produced by Kings that comes in a white bag with red, blue, yellow sand toys on the front of it.
I see. That’s very reassuring, thank you very much! I’ll look into that brand of play sand immediately.
 
What is the basking temperature?
How many insects does she eat in a week?

Is the vet experienced with chameleons?

The guitar edema can be from a number of things...does your vitamin powder have preformed vitamin A in it? It's usually from an imbalance of nutrients but some chameleons develop edema when they're gravid.

The eggs look oval so I don't think she would have follicular stasis...but as I've said...I'm not a vet so it's just my opinion.

She could be becoming eggbound but I'll only know when she starts to show lethargy, sleeps during the day, sits low in the cage etc. usually....and by then it's almost always too late.

@jannb ...can you add anything here?
 
What is the basking temperature?
How many insects does she eat in a week?

Is the vet experienced with chameleons?

The guitar edema can be from a number of things...does your vitamin powder have preformed vitamin A in it? It's usually from an imbalance of nutrients but some chameleons develop edema when they're gravid.

The eggs look oval so I don't think she would have follicular stasis...but as I've said...I'm not a vet so it's just my opinion.

She could be becoming eggbound but I'll only know when she starts to show lethargy, sleeps during the day, sits low in the cage etc. usually....and by then it's almost always too late.

@jannb ...can you add anything here?
Her basking temperature is ~90 degrees F. In a week she eats every other day, typically about 8-10 large crickets each time she eats, and occasionally she’ll get a hornworm/silkworm or two with them. They’re always dusted with calcium. As for the multivite, it doesn’t have Vitamin A, but I do have Vitamin A powder. Should I sprinkle a little in with her bugs?

And I have read about those egg-bound symptoms. Luckily, she hasn’t displayed any of those symptoms at all - quite the opposite, thankfully! I’m worried that that could happen soon, though. I’d like to get a laying bin with play sand in her cage ASAP so she can hopefully lay her eggs and be relaxed again...
 
Her basking temperature is ~90 degrees F. In a week she eats every other day, typically about 8-10 large crickets each time she eats, and occasionally she’ll get a hornworm/silkworm or two with them. They’re always dusted with calcium. As for the multivite, it doesn’t have Vitamin A, but I do have Vitamin A powder. Should I sprinkle a little in with her bugs?

And I have read about those egg-bound symptoms. Luckily, she hasn’t displayed any of those symptoms at all - quite the opposite, thankfully! I’m worried that that could happen soon, though. I’d like to get a laying bin with play sand in her cage ASAP so she can hopefully lay her eggs and be relaxed again...
Oh whoops- And I believe she’s experienced with chameleons, the vet is. I’m not certain how much, but their website offers all sorts of exotic pet treatments including all different types of reptile treatments. Still, I thought the all-out D3 advice from her was odd...
 
Her basking temperature is ~90 degrees F. In a week she eats every other day, typically about 8-10 large crickets each time she eats, and occasionally she’ll get a hornworm/silkworm or two with them. They’re always dusted with calcium. As for the multivite, it doesn’t have Vitamin A, but I do have Vitamin A powder. Should I sprinkle a little in with her bugs?

And I have read about those egg-bound symptoms. Luckily, she hasn’t displayed any of those symptoms at all - quite the opposite, thankfully! I’m worried that that could happen soon, though. I’d like to get a laying bin with play sand in her cage ASAP so she can hopefully lay her eggs and be relaxed again...

I would recommend you lower her temps and feed her less. I keep my girls in the very low 80’s, around 82. I feed all my chameleons 3 times a week and the girls get 3 to 5 feeders or less depending on the size, at each feeding. The swelling around her neck can be associated with egg laying and can also be caused by to much supplementing. I’d stop all supplements for awhile except for a little bit of calcium without D3 and see if that helps. I have also found that outside time helps with the swelling.
 
I would recommend you lower her temps and feed her less. I keep my girls in the very low 80’s, around 82. I feed all my chameleons 3 times a week and the girls get 3 to 5 feeders or less depending on the size, at each feeding. The swelling around her neck can be associated with egg laying and can also be caused by to much supplementing. I’d stop all supplements for awhile except for a little bit of calcium without D3 and see if that helps. I have also found that outside time helps with the swelling.
I see. Well, I’ll give all that a try! Luckily, my basking lamp is dimmable, so that should be easy. And for the calcium, it’s definitely safe to decrease it while she has eggs, right? I know she gets plenty of calcium from her crickets’ gutloading. Apologies for all of the questions, btw, I just want to be safe!
 
I see. Well, I’ll give all that a try! Luckily, my basking lamp is dimmable, so that should be easy. And for the calcium, it’s definitely safe to decrease it while she has eggs, right? I know she gets plenty of calcium from her crickets’ gutloading. Apologies for all of the questions, btw, I just want to be safe!
I would continue to lightly dust her crickets with the calcium without d3 just don’t make the crickets look like ghost.
 
Back
Top Bottom